
안녕하세요.
고관절 이형성증에 대해서 들어보셨나요? 엉덩이와 다리가 이어지는 관절 이상으로 탈구가 진행되어 다리를 잘 쓰지 못하거나 아예 들고 다니는 질병입니다. 오늘은 대형견에서 많이 나타나는 고관절 이형성증에 대해 알아보도록 하겠습니다.
목차
고관절 이형성증이란?
고관절 이형성은 유전성 질환으로 대형견에서 많이 발생합니다. 성별에 따른 차이는 없고 성장 중에 발생하는 고관절의 기형으로 생후 6개월에서 1세까지 증상을 보이는 경우가 많습니다. 고관절의 비정상적인 성장으로 인해 고관절이 헐거워지고 그에 따른 퇴행성 관절 질환이 나타나는 것이 특징입니다. 고관절 뼈와 근육이 서로 다른 발달 속도로 성장할 때 발생하게 됩니다.

고관절 이형성증의 원인과 잘 발생하는 품종
고관절 이형성증은 유전적 질환이며 비만, 과체중, 영양 불균형, 성장하는 어린 강아지의 격렬한 운동 등으로 인해 발생하는 경우가 많습니다. 저먼 셰퍼드, 세인트 버나드, 래브라도 리트리버, 골든 리트리버, 로트와일러, 버니즈 마운틴 독 등 대형견에서 주로 발생하지만 프렌치 불독이나 웰시코기 등의 중소형 품종에서도 종종 발생합니다.




고관절 이형성증의 증상
가장 흔한 증상은 절뚝거리거나 깡충깡충 뛰거나 뒤뚱거리며 걷는 모습을 보인다는 것입니다. 아래의 증상이 나타난다면 동물병원에 방문해 수의사와 상담해 보길 바랍니다.
- 잘 놀지 않으려고 한다.
- 계단 오를 때 힘들어한다.
- 걸을 때 뒷다리가 흔들거리고 아파한다.
- 오히려 충분히 쉬고 일어날 때 아파하고 통증을 느낀다.
- 뒷다리가 뻣뻣하고 비스듬하게 앉는 자세를 취한다.
- 뒷다리 근육이 현저하게 빠진다.
고관절 이형성증의 진단
- 신체검사: 걸음걸이와 뒷다리를 뻗어보는 검사를 하면서 진행 정도를 확인해 볼 수 있습니다.
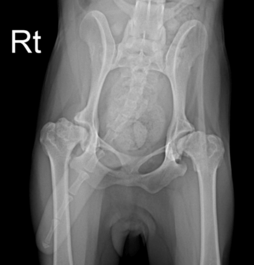
- 고관절 엑스레이: 고관절 이형성증은 고관절의 방사선 촬영을 통해 가장 잘 진단됩니다. 이를 통해 질병의 진행정도와 퇴행성 관절염 등 뼈의 변형을 확인할 수 있습니다. 촬영 자세가 엄청난 통증을 수반하기 때문에 가벼운 진정이 필요할 수 있습니다.


고관절 이형성증의 예방과 치료
고관절 이형성증의 치료는 질병의 정도에 따라 비수술적 관리부터 외과적 처치까지 다양할 수 있습니다.
- 예방을 위한 영양학: 대형견 강아지는 너무 빨리 자라서는 안됩니다. 뼈와 근육이 다른 속도로 성장하게 되면 질환의 진행 속도가 빨라질 수 있습니다. 느리지만 꾸준한 속도로 자를 수 있도록 대형견용 퍼피 사료(라지 브리드로 표시)를 먹여야합니다. 전 연령, 모든 품종용 사료를 먹이거나 수의사와 상의하지 않고 단백질, 칼슘 보조제를 투여해서는 안됩니다.
- 체중관리: 체중의 증가는 관절에 더 많은 압력을 가해 고관절 이형성증의 증상을 악화시킬 수 있습니다. 적절한 체중을 유지하는 것만으로도 통증은 많이 감소할 수 있습니다.
- 운동 및 물리치료: 격렬한 움직임이나 점프는 질병의 진행을 가속화시킬 수 있습니다. 짧고 가벼운 산책이나 수영, 수중 트레드밀 등 관절에 무리가 가지 않는 운동이 필요합니다.
- 통증 완화: 동물병원에 방문해 수의사에게 진통제 또는 관절 영양제를 처방받습니다.
- 수술: 고관절 이형성증을 교정하는 여러가지 수술 방법이 있습니다. 강아지의 나이, 질병의 진행정도 등에 따라 결정하게 되며 수의사와 상담해 보는 것이 좋습니다.




이상 대형견의 고관절 이형성증에 대해 알아보았습니다. 유전적인 질병이긴 하지만 미리 예방할 수 있는 방법도 있으니 다시 한번 예방법 살펴보시고 만약 증상이 나타나고 있다면 빠른 시일 내에 동물병원에 방문해 보세요.
소형견에서 잘 나타나는 고관절 질환과 슬개골 탈구에 대해 알아보고 싶다면 아래에서 확인해주세요. 감사합니다.
'1' 카테고리의 다른 글
| 강아지 덧니가 났어요. 잔존유치,젖니가 안빠진 경우 (0) | 2024.02.21 |
|---|---|
| 우리 집 막내 양치질 시작하는 방법-강아지, 고양이 양치법 (0) | 2024.02.20 |
| 오줌을 잘 못싸고 힘들어해요.방광결석 원인,증상,치료방법 (0) | 2024.02.18 |
| 켁켁거리고 흥분하면 거위 우는 소리가 나요. 기관허탈 원인,증상,관리법(기관지협착) (0) | 2024.02.17 |
| 우리 아이도 슬개골 탈구?! 슬개골 탈구의 정의,품종,진단,예방법 (0) | 2024.02.16 |
